Upper limb
Upper limb-test
Thorax
Thorax-test
Abdomen
Abdomen-test
Head & neck
Head & neck-test
Brain & spinal cord
Brain & spinal cord-test
Lower limb
Lower limb-test
Skull-photos

Radiografia / Radiography

RTG głowy płodu w 8 m-cu ciąży.
RTG głowy 1 dzień po porodzie.
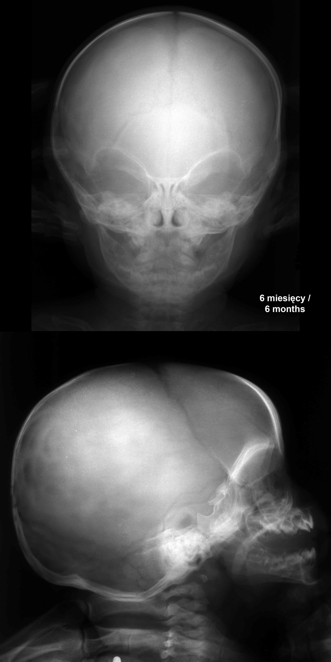
RTG głowy 6-miesięcznego dziecka.
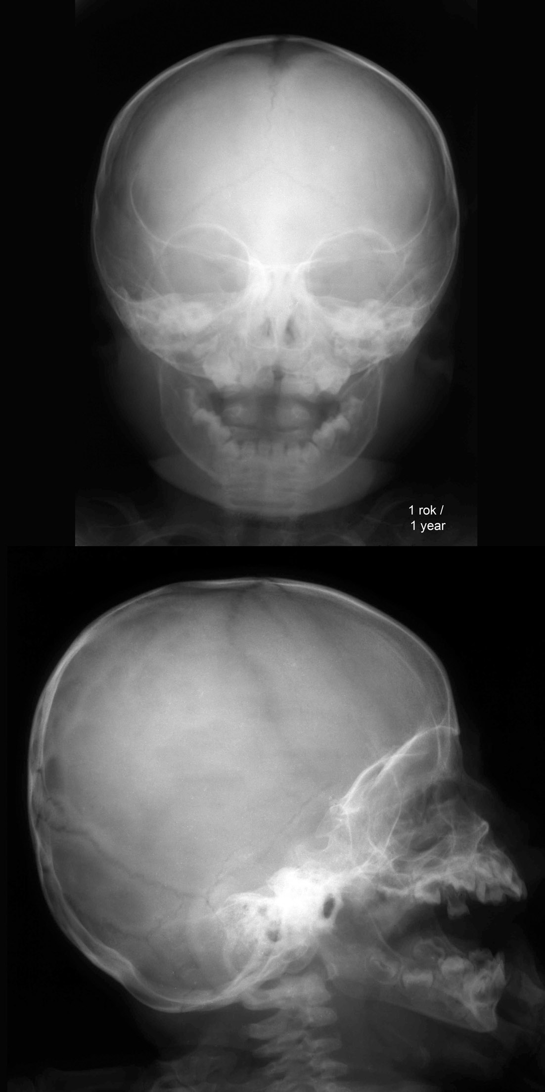
RTG głowy rocznego dziecka.
RTG głowy dziecka w okresie
od 8 mies. ciąży do 1 roku.
RTG głowy 2-letniego dziecka.
RTG głowy 6-letniego dziecka..
RTG głowy 10-letniego dziecka..
. RTG głowy dziecka w okresie
od 2 do 10 roku.
RTG głowy 14-latka.
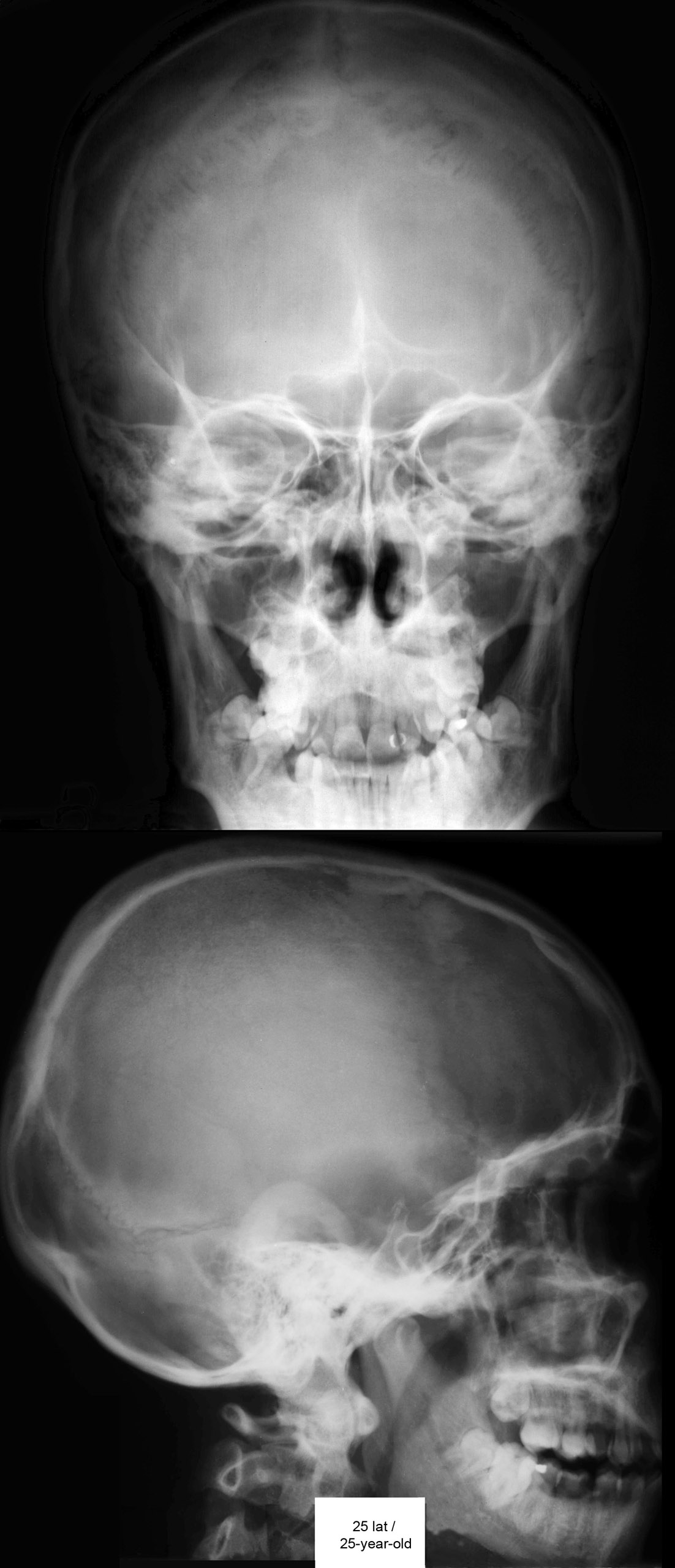
RTG głowy 25-latka.
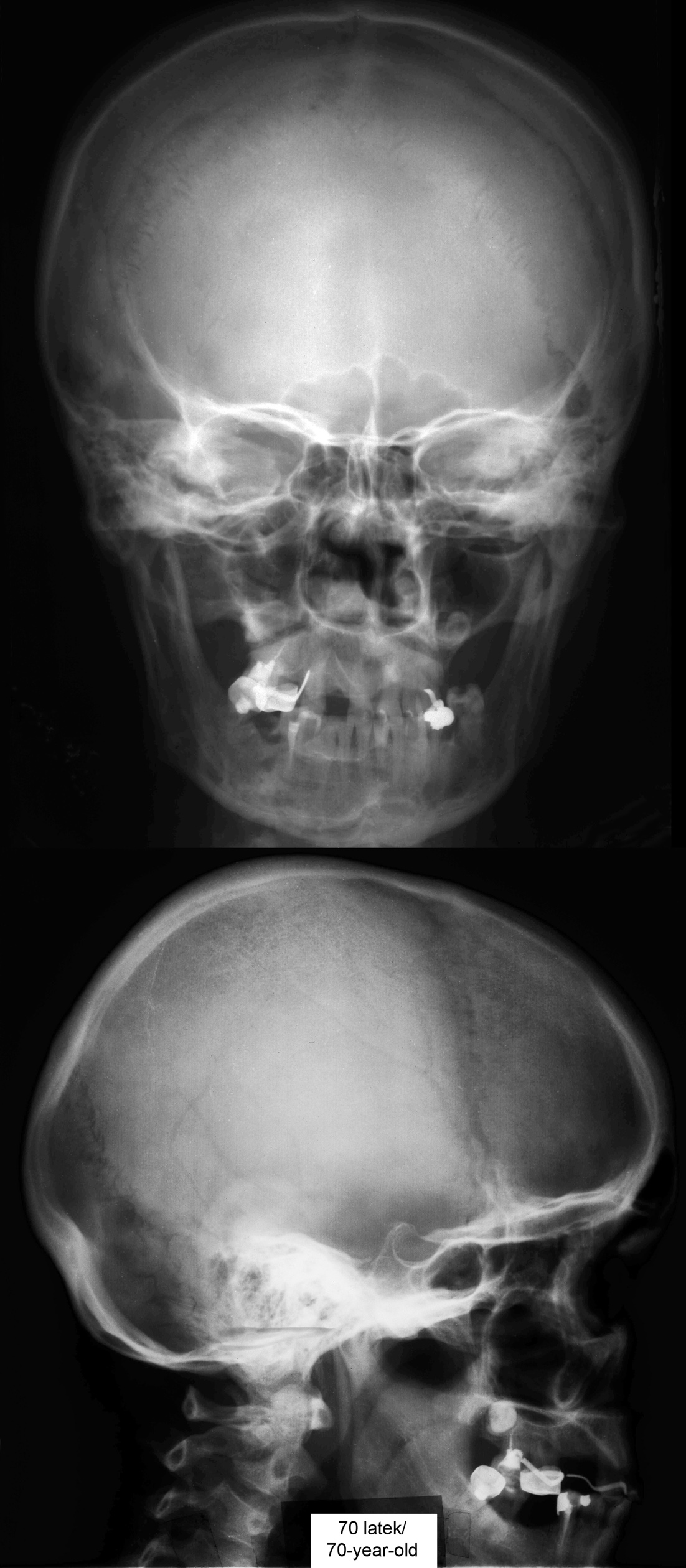
RTG głowy 70-latka.
. RTG głowy 14-, 25- i 70-latka.
RTG głowy frontalny.
RTG głowy boczny.
RTG głowy od góry.
. RTG głowy człowieka.
© Opracowanie graficzne i redakcja:BOGUMIŁ GORAL i MAREK TUSIŃSKI
Konsultacje merytoryczne MARIUSZ KLEPACKI i GRZEGORZ STAŚKIEWICZ